CABINET DENTAIRE DU CARILLON
Docteurs Antoine MAIRESSE, Claire BOYEZ et Enzo BOTTONI, Chirurgien-Dentistes, à Béthune
30 Rue du Carillon, 62400 Béthune
+33 3 21 56 88 97
CABINET DENTAIRE DU CARILLON
Docteurs Antoine MAIRESSE, Claire BOYEZ et Enzo BOTTONI, Chirurgien-Dentistes, à Béthune

Vidéos 3D - Page 6

Le comblement de sinus par abord crestal

Le comblement de sinus par abord crestal

Orthodontie : idées reçues, idées revues

Orthodontie : idées reçues, idées revues

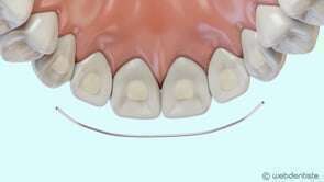
Fil de contention

Fil de contention

Affichage des articles 61-63 sur 63

Création par Webdentiste

Connexion